Bolezni obzobnih tkiv so bile in so še vedno med najbolj razširjenimi boleznimi človeka, saj vnetje dlesni s krvavitvijo pri čiščenju zob občasno doživi skoraj vsakdo. Ustna votlina je za mikroorganizme odprt rastni sistem, v katerega s hrano, pijačo, slino, rokami in različnimi predmeti vstopajo in izstopajo številne vrste drobnih živih bitij, ki jih je že pred več kot 300 leti s prvim mikroskopom opazoval nizozemski raziskovalec Anton van Leeuwenhoek. Razdelil jih je po obliki v skupine in bil presenečen nad njihovim velikim številom. Ko je o svojem odkritju drobnih živalic v mehki zobni oblogi pisal Kraljevemu društvu v London, ni pozabil opisati svojih izkušenj s čiščenjem stranskih zob z zobotrebci in tudi s suknom ter drgnjenja zob s soljo, da bi ohranil zdrave dlesni in preprečil krvavitev, to najbolj očitno znamenje bolne dlesni. Krvavitev iz kateregakoli dela človeškega telesa, pa naj bo to želodec, črevesje ali ustna votlina, vedno pomeni, da gre za resno dogajanje, ki lahko ogroža zdravje bolnika.
Leeuwenhoekove slutnje o vzročno-posledični povezavi med prisotnostjo mehke bakterijske zobne obloge in vnetjem dlesni je počasi utonilo v pozabo in skoraj 250 let je trajalo, da so to povezavo eksperimentalno potrdili skandinavski raziskovalci. Na ta način so utrli pot sodobni parodontologiji, veji zobozdravstva, ki preučuje ustroj in delovanje obzobnih tkiv, med katera sodijo dlesen, pozobnica, zobni cement in obzobna kost v obdobju zdravja in bolezni. Zobozdravnik in parodontolog pa sta strokovnjaka, ki bolezni obzobnih tkiv diagnosticirata, preprečujeta in zdravita.
VNETJE DLESNI
Glede na individualni imunski odgovor posameznika na okužbo obzobnih tkiv, ki se kaže z vnetjem dlesni, premikom prirastišča dlesni proti vrhu korenine, z izgubo opornega obzobnega tkiva in na koncu tudi z izpadom zoba, obstajajo v glavnem tri skupine bolnikov: 81 odstotkov jih izraža zmerno napredovanje bolezni obzobnih tkiv, ti pacienti se dobro odzivajo na postopke zdravljenja, 11 odstotkov je neobčutljivih za okužbo in tudi v zelo neugodnih lokalnih razmerah razvijejo ponavadi le površinske oblike vnetja, medtem ko je zadnjih 8 odstotkov izredno občutljivih in pri njih bolezen napreduje navkljub skrbnemu izvajanju vseh konvencionalnih postopkov zdravljenja. Občutljivost za bolezen obzobnih tkiv se spreminja od osebe do osebe in jo določa gostiteljev vnetni odgovor na mikroorganizme, ki se najpogosteje pojavljajo v povezavi z boleznimi obzobnih tkiv. Če pacienti hkrati obolevajo še za kakšno zdravstveno nekontrolirano sistemsko boleznijo, kot so npr. sladkorna bolezen, krvne bolezni, osteoporoza, ali če so izpostavljeni dejavnikom tveganja zaradi življenskega sloga, kot so stres, kajenje, alkohol in/ali pomanjkljiva prehrana, se lahko slika bolezni v ustni votlini še bolj izrazito in hitreje poslabšuje.
KDAJ SE ZAČNE
Obseg tega prispevka ne dovoljuje poglabljanja o vplivu nebakterijskih vzročnih dejavnikov na bolezni obzobnih tkiv. Izhajali bomo iz domneve, da govorimo o pacientu, ki ima samo bolezen obzobnih tkiv brez otežujočih sistemskih dejavnikov tveganja. Kaj je in kako se bolezen obzobnih tkiv začne?
Vnetje površinskega dela obzobnih tkiv ali vnetje dlesni, pravzaprav dlesninega roba, je okužba posebne vrste, pri kateri so vpletene ustne bakterije, ki sicer predstavljajo normalno, koristno zobno floro ali tratico, predvsem je to mehka zobna obloga in ne ostanki hrane. Že pred in med boleznijo se začnejo spreminjati medsebojna razmerja mikroorganizmov znotraj zobne obloge in tudi njihovo absolutno število, ne da bi se pri tem pojavila kakšna specifična, tuja bakterija. Eden od razlogov za ta preskok v razmerju celic, ki gostujejo v naših ustih, je sprememba mikrookoljskih razmer, npr. opustitev sistematičnih ustnohigienskih ukrepov, pojavljanje pogostejšega krvavenja iz dlesni, zaapnitev mehke zobne obloge oziroma tvorba zobnega kamna, vstavitev zahtevnih protetičnih, ortodontskih ali kakšnih drugih naprav, ki otežkočajo redno čiščenje zob, umik roba dlesni z odkrivanjem koreninskih jamic, brazd in razcepišč pri večkoreninskih zobeh ter jemanje specifičnih zdravil, ki poškodujejo del naše normalne zaščitne flore. Drugi razlog za usodno spremembo razmerja bakterij v zobni oblogi je lahko tudi na strani gostitelja in je posledica trenutno spremenjenega imunskega odziva posameznika, ki zaradi različnih razlogov ni zmožen opraviti z bakterijami na zastojnih mestih.
Že nekajdnevna do tedenska prisotnost bakterijske mehke zobne obloge na kritičnih mestih zoba povzroči klasične znake vnetja dlesni z rdečino, oteklino, povečano lokalno temperaturo in občutljivostjo prizadetega tkiva z moteno funkcijo na tem mestu. Za večino ljudi je edini znak spremenjenega stanja le povečana nagnjenost h krvavitvi npr. pri preredkem čiščenju s krtačko, nitko ali z medicinskim zobotrebcem. Zobozdravnik lahko s pomočjo kalibrirane sonde v tem obdobju ugotovi dlesnine žepe pri sondiranju žleba okrog prizadetega zoba. Dlesnini žepi, ki nastanejo zaradi otekline dlesni, niso pravi žepi obzobnega tkiva, ker se položaj dlesninega prirastišča ali pripoja v tem primeru ne premakne in je na istem mestu kot pri normalnem tkivu.
NAČINI ZDRAVLJENJA
Najvarnejše zdravljenje in preventiva vnetja dlesni, te nespecifične bolezni, je redno in temeljito mehansko odstranjevanje hitro se ustvarjajoče belkaste biomase na zobeh, ki jo predstavlja mehka bakterijska zobna obloga. To lahko opravimo s pomočjo električne ali ročne zobne krtačke s sintetičnimi na koncu zaobljenimi vlakni, ki so največ srednje trdote. Pri tem je treba upoštevati, da niso vsi predeli zoba enako izpostavljeni nabiranju mehke zobne obloge in da obstajajo tri zastojna mesta, ki jih je treba posebej in s premislekom očistiti. Glavna zastojna mesta za zobno oblogo so:
- žlebiči in jamice na zobnih površinah; globoki žlebiči v sklenini na žvečnih ploskvah ličnikov in kočnikov so pomembni predvsem za razvoj zobne gnilobe;
- medzobni prostori so mesta zgodnjega razvoja bolezni obzobnih tkiv in kasneje tudi največjih poškodb, ki jih večinoma ugotovimo pri pregledovanih osebah; medzobno zastojno mesto je pomembno tudi za nastanek zobne gnilobe stičnih ploskev;
- črta, kjer se prosti dlesnin rob dotika zoba, je tudi mesto, ki je bolj izpostavljeno zastoju obloge in posledično tudi vnetju dlesni.
Dnevna skrb za zdravo zobno in obzobno tkivo mora poleg dvakratnega krtačenja gladkih in lahko dosegljivih ličnih in jezičnih zobnih ploskev s krtačko vključevati tudi enkratno čiščenje medzobnih zastojnih mest z zobno nitko, ki naj večkrat drsi od prirastišča dlesni do medzobnega kontakta. Čiščenje s spiralno medzobno krtačko dopolnimo, če so medzobni prostori široki ali, če sta sosednja zoba vezana s prevlekami oziroma če sta le-ti uliti v enem kosu. Glavni cilj čiščenja je preprečitev dozorevanja mehke zobne obloga, kar je naša dosmrtna naloga, če želimo do starosti ohraniti funkcionalno zobovje.
Z odstranitvijo vzroka za vnetje dlesni, tj. s čiščenjem mehke bakterijske zobne obloge, lahko brez trajnih poškodb na obzobnih tkivih le-ta popolnoma pozdravimo. Vsako globlje vnetje obzobnih tkiv se začne z vnetjem dlesni, ni pa nujno, da se iz vsakega vnetja dlesni razvije globlja oblika bolezni obzobnih tkiv z vsemi trajnimi okvarami na obzobih tkivih.

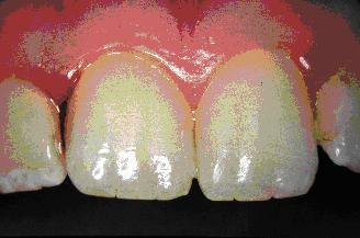
Slika 1. Vnetje dlesni s krvavitvijo pri najstnici.

Slika 2. Pobarvana mehka zobna obloga na zobeh pri isti osebi kot na sliki 1.
Kaj je bolezen globljih obzobnih tkiv? Bolezen globljih obzobnih tkiv ali s tujko parodontitis ali parodontalna bolezen je vnetje, pri katerem je slika bolezni odvisna od medsebojnega prepletanja številnih dejavnikov. Vzročni dejavniki so bakterijski, lokalni in sistemski. Če je prisotna mehka zobna obloga s hkratnim obstojem več dejavnikov tveganja, je verjetnost, da bo oseba zbolela za boleznijo obzobnih tkiv veliko večja. Rezultat bolezni je poškodba, ki poleg dlesni prizadene dodatna tri obzobna tkiva: zobni cement, pozobnico in kostni zobiščni nastavek. Okvare tkiv so trajne in jih tudi z ozdravljenjem bolnih obzobnih tkiv ne moremo več vrniti v prvotno ali normalno stanje. To pomeni, da poškodbe zaradi bolezni obzobnih tkiv ostanejo vidne za vedno.
Za bolezen so najizrazitejše značilnosti: vezivno zadebeljen ali otekel rob dlesni, ki je lahko usnjate ali gobaste konsistence; rdeče-modra barva dlesni z gladko in bleščečo površino; zmanjšanje koničastega medzobnega dlesninega izbočenja oziroma prazni medzobni prostori; krvavitev ali gnojenje iz žepa ob zobu; delno razgaljenje zobne korenine ali razgaljenje po njenem celotnem obodu zaradi umika roba dlesni; povečana globina obzobnih žepov na štiri ali več milimetrov; povečana zobna majavost; premiki zob; motena funkcija oziroma otežkočeno žvečenje in na koncu izpad zoba.
Žepi obzobnega tkiva so anatomski defekt, ki ga zapusti bolezenski proces. Ti žepi nastanejo s premikom dlesninega prirastišča v smeri proti vrhu korenine oziroma z umikom dlesninega prirastišča z inficiranega območja na zobu, prekritega z mehko bakterijsko zobno oblogo, na zdravo koreninsko površino. Dlesen se torej umika v varno območje še zdravega tkiva. Teoretično to premikanje prirastišča lahko traja dlje časa, če so korenine zob daljše. Prostor, ki nastane med odlepljeno dlesnijo in zobno korenino je novo zastojno mesto za zobno oblogo, ki ga imenujemo obzobni žep. Poleg umika dlesninega prirastišča se hkrati raztaplja zobiščna kost in propadajo vezivna vlakna, ki opravljajo pomembno funkcijo pritrditve zoba v kosti in prenosa žvečnih sil z zoba na obzobno kost. S premikom prirastišča in poglabljanjem žepov se v njih povečuje tudi število bakterij, njihovih strupov in presnovkov.
Vzorec izgube kosti zobiščnega nastavka in uničenje pozobničnih vezivnih vlaken je odvisen od poti, po kateri napreduje vnetni proces od roba dlesni v globino in načina vnetnega odgovora bolnika. Slika bolezni je rezultat vnetne reakcije tkiva na škodljiv vpliv, ki je lahko: bakterijska okužba ali mehanična poškodba. Širi se lahko v vertikalni in tudi v horizontalni smeri. Vnetna oteklina je rezultat povečanega dotoka krvi v prizadeto območje, njenega zastoja, izstopanja tekočine in kopičenje obrambnih belih krvničk iz žilja. Vnetni odgovor, ki ima v bistvu zaščitno in obrambno nalogo, lahko poškoduje celice obzobnega tkiva, vezivna tkiva s kostjo in je bistven za nastanek in razvoj bolezni. Vnetje lahko torej deluje tudi destruktivno. Možni potek vnetja obzobnih tkiv je akuten ali kroničen z izmenjujočimi se fazami dolgotrajnejših mirovanj in krajšimi fazami bolj aktivne bolezni. Večina žepov pri večjem delu odraslih bolnikov z boleznijo obzobnih tkiv je neaktivna. To pomeni, da je bolezensko mesto stabilno in se položaj dlesninega prirastišča ne spreminja v nekem časovnem obdobju za razliko od aktivnega bolezenskega mesta. Hkrati lahko obstajajo celo na različnih mestih enega in istega zoba zdravo stanje, površinsko in tudi globlje vnetje obzobnih tkiv. Pri oceni aktivnosti bolezensko prizadetega mesta si pomagamo z graduirano parodontalno sondo, ki jo uporabljamo za meritve globine dlesninih žlebov in obzobnih žepov.

Slika 3. Sondiranje obzobnega žepa z graduirano sondo pri napredovali bolezni obzobnih tkiv.

Slika 4. Sonda na dlesni kaže osem milimetersko globino žepa.

Slika 5. Isti pacient ima šest mesecev po nekirurškem in kirurškem zdravljenju zdravo, toda skrčeno obzobno tkivo.
VRSTE VNETIJ
Večina vnetij obzobnih tkiv so, tako kot zobna gniloba, okužbe, povezane z bakterijsko poselitvijo zobnih površin. Zdravljenje se sestoji iz nadzora nad okužbo, ki jo povzroča mehka zobna obloga, tako da z njenim skrbnim odstranjevanjem v večini primerov lahko dosežemo zdravje obzobnih tkiv. Čeravno pri vseh pacientih zdravja ni mogoče vedno doseči in tudi trajno vzdrževati, že z ustavitvijo napredovanja bolezni obzobnih tkiv po zdravljenju dosežemo cilj sodobne zobozdravstvene obravnave.
Poleg nekoč osrednje faze zdravljenja, tj. kirurškega pristopa pri globljih boleznih obzobnega tkiva, sta danes enako pomembni začetna ali higienska faza in po končani korektivni fazi zdravljenja npr. kirurškem posegu tudi vzdrževalna faza. Z začetnim zdravljenjem dobimo podatke o pacientovi učinkovitosti pri osebnem higienskem prizadevanju, kar je izrednega pomena pri oceni prognoze bolezni. Nezadostna in nepravilna higiena zob in obzobnih tkiv pogosto pomeni, da bolnik ni primeren za kirurški poseg, ker sicer tvegamo slabe izide morebitnega kirurškega zdravljenja obzobnih tkiv. Mehansko čiščenje ali mehansko dezinfekcijo zob in tudi dezinfekcijo celotne ustne votline, posebno kadar so dlesni poškodovane ali po kirurških posegih, lahko uspešno dopolnimo tudi s preizkušenimi antiseptičnimi raztopinami kot je npr. raztopina klorheksidina (npr. Curasept, Curaden; Hibisept).
Zobozdravniku bo v kratkem v pomoč tudi ustni higienik, ki se bo lahko s pridom vključeval v začetno in vzdrževalno fazo zdravljenja bolezni zob in obzobnih tkiv, posebno pri npr. motorično prizadetih ali manj spretnih pacientih, ki pogosteje potrebujejo profesionalno pomoč.
Odsek za dentalno medicino,
Medicinska fakulteta Ljubljana


