Kolčni sklep (lat. coxa) je kroglast sklep, ki ga tvorita glavica stegnenice in ponvica, ki jo imenujemo acetabulum in je del medenične kosti. Sklepne površine so pokrite s hrustancem, na robu acetabuluma pa je labrum, ki je pomembna struktura kolčnega sklepa (tabela 1). Zaradi svoje okrogle oblike je kolk dobro gibljiv v vseh treh prostorskih ravninah. Za kolčni sklep je pomembno, da je normalno razvit. Acetabulum mora biti dovolj globok in pravilno postavljen, da so tlaki v kolku med obremenitvami čim manjši. Po drugi strani pa lahko preglobok acetabulum in neokrogla oblika glavice stegnenice mehansko ovirata gibanje v sklepu. Nepravilnost v razvoju glavice stegnenice ali acetabuluma predstavlja tveganje za nastanek poškodbe in zgodnje obrabe kolka.
Tabela 1: Funkcija acetabularnega labruma
- stabilizira priležni hrustanec na acetabulumu
- omogoča enakomerno porazdelitev tlaka v sklepu
- absorbira energijo med obremenjevanjem
- omogoča nastanek vakum fenomena
- zboljša skladnost sklepnih površin
- odeluje pri mazanju (lubrikaciji) sklepnih površin
DISPLAZIJA KOLKA
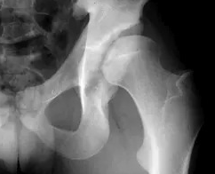
Displazija kolka je razvojna nepravilnost, pri kateri je acetabulum slabše razvit in nezadostno pokriva glavico stegnenice (slika 1).
Slika 1. Displazija kolka – rentgenska slika: ponvica sklepa je plitva in strma.
Acetabulum je strm in nezadostno pokriva glavico stegnenice, zato je obremenilna površina manjša, tlak v sklepu pa večji. Vrat stegnenice je nepravilne oblike (v valgusu).
Poleg tega sta lahko nepravilno razvita tudi glavica in vrat stegnenice. Zaradi manjše stične površine med glavico stegnenice in ponvico kolčnega sklepa ter posledično večjih tlakov med obremenjevanjem so mehka tkiva na robu sklepa, labrum in njemu priležni hrustanec, bolj obremenjena in se lahko s časom poškodujejo. Bolniki z nezdravljeno displazijo kolka imajo pomembno večje tveganje za nastanek zgodnje obrabe sklepa. Zakaj se pri nekaterih ljudeh razvije displazija kolka, pri drugih pa ne, ni povsem jasno. Večje tveganje predstavljajo prisotne razvojne nepravilnosti kolka pri bližnjih družinskih članih ter nekatere genetske in sistemske bolezni. Pri ženskah je displazija kolka trikrat pogostejša kot pri moških. Lahko se pojavi že ob rojstvu, pri otrocih, ki se porodijo z nogicami naprej (medenična vstava), ali če se plod razvija v maternici z manj plodovne tekočine ali v družbi dvojčka. Displazija kolka je lahko tudi posledica bolezni kolčnega sklepa v otroštvu, na primer Legg-Calve-Perthesove bolezni. Polovica bolnikov z displazijo ima slabo razvit tudi drugi kolk.
Zgodnji simptom displazije kolka je občutek utrujenosti po obremenitvah, npr. po daljših sprehodih. Sprva so težave občasne in blage, kasneje se pojavi vse hujša bolečina v dimljah in posledično šepanje. Bolečina v mirovanju je lahko že znak obrabe sklepa.
UTESNITVENI SINDROM KOLKA
Utesnitveni sindrom kolka je bolezensko stanje, za katerega je značilna bolečina in, za razliko od displazije, omejena gibljivost v kolku. Zaradi nepravilnih anatomskih odnosov med vratom in glavico stegnenice ter acetabulom se med upogibanjem (fleksijo) v sklepu sprednji in zunanji del vratu stegnenice zadeva ob rob acetabula, kjer lahko pride do poškodbe kolčnega labruma in hrustančnih površin. Takrat se prvič pojavijo bolečine v dimljah. Te so najprej prisotne med upogibanjem sklepa in lahko le med sedenjem ter med rotacijskimi obremenitvami. Tudi pri bolnikih z utesnitvenim sindromom bolečina v mirovanju pomeni, da je sklep lahko že obrabljen.
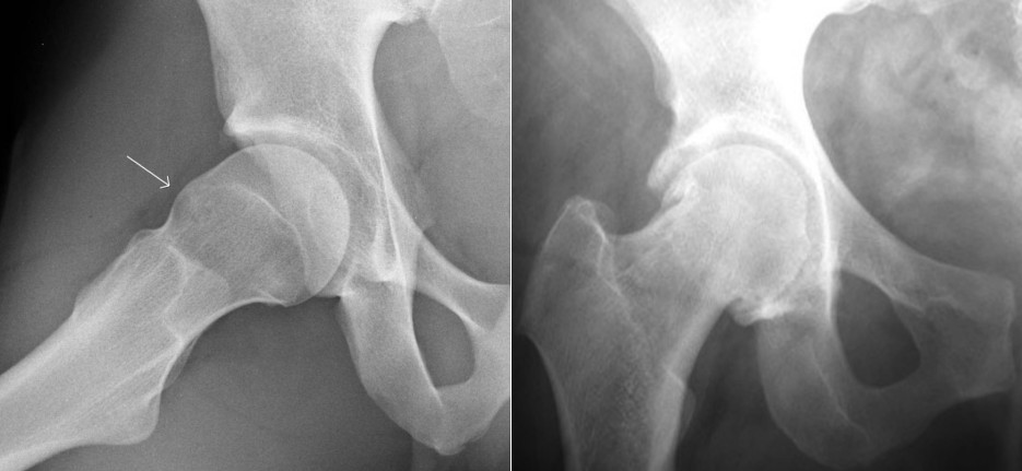
Poznamo dva osnovna tipa utesnitve kolčnega sklepa (slika 2).
Slika 2. Utesnitev kolčnega sklepa – rentgenska slika
a – stegnenični (angl. cam) tip utesnitve; glavica stegnenice ni okrogla, v sprednjem delu je izbočena (označeno z belo puščico)
b – acetabularni (angl. pincer) tip utesnitve; acetabulum je globok
Stegnenični tip utesnitve (angl. cam ali pistol-grip) je posledica neokrogle oblike glavice stegnenice in je pogost pri mlajših moških. Acetabularni tip utesnitve (angl. pincer) je posledica nagiba površine acetabula nazaj (retroverzije) ali povečane poglobljenosti acetabula. Najpogosteje prizadene ženske v srednjih letih. V praksi se pogosto srečamo s pacienti, ki imajo kombinacijo obeh omenjenih tipov utesnitve kolka. Natančen razlog za nastanek nepravilne oblike, ki povzroči utesnitveni sindrom kolka, ni povsem znan. Zadnje raziskave so pokazale, da so lahko vzrok za to preobremenitve rastnega hrustanca v obdobju hitre rasti otroka. Verjetno je zato pri bivših športnikih utesnitveni sindrom kolka bolj pogost.
REKONSTRUKCIJSKI IN ARTROSKOPSKI POSEGI NA KOLKU PRI ODRASLIH
Kolk leži globoko in je obdan z močno sklepno ovojnico ter debelim mišičnim plaščem, zato je kirurgu težje dostopen. Posebnost kolka je tudi v načinu, kako je prekrvljena glavica stegnenice. Pri odprtem kirurškem pristopu mora kirurg s previdnim manevrom kolčni sklep izpahniti in takrat se lahko poškoduje žilni pletež okrog vratu stegnenice. Odprti posegi na kolku so zato tehnično zahtevni in tvegani za nastanek zapletov med posegom in po njem.
Največje zasluge za razvoj moderne rekonstrukcijske kirurgije na kolku ima skupina ortopedov z Univerzitetne bolnišnice v Bernu v Švici pod vodstvom profesorja Reiholda Ganza, ki je najprej v sredini 80. let prejšnjega stoletja predstavila periacetabularno osteotomijo. To je rekonstrukcijski poseg, s katerim izboljšamo pokritost kolčnega sklepa z displastičnim acetabulom. Periacetabularna osteotomija je zaradi zapletene trodimenzionalne oblike medenice in neposredne bližine več pomembnih žilno-živčnih snopov za spodnji ud tehnično zahteven kirurški poseg. Potem, ko prekinemo medenično kost na več mestih okrog displastičnega acetabula, sproščeni kostni del skupaj z acetabulom postavimo v biomehansko boljši položaj (slika 3).Z različnimi tipi osteotomij na medenici in na stegnenici lahko zdravimo tudi druge bolj redke razvojne nepravilnosti in deformacije kolčnega sklepa.
Slika 3. Periacetabularna osteotomija
a – fragment z acetabulom (označen rdeče na grafiki) sprostimo s pomočjo dlet in žage
b – acetabulum postavimo v biomehansko boljši položaj
Ista skupina ortopedov iz Berna je zaslužna tudi za hiter razvoj kolčne artroskopije. Leta 2004 so objavili članek, v katerem so natančno opisali dva osnovna tipa utesnitve kolčnega sklepa. Utesnitveni sindrom je danes najpogostejša indikacija za artroskopijo kolka. Število izvedenih artroskopskih posegov na kolku se strmo povečuje in kolk je med vsemi sklepi danes na tretjem mestu po številu izvedenih artroskopskih posegov. Problem artroskopije kolka je težka 3D-predstava anatomije, saj si s kamero med posegom lahko prikažemo le delček sklepa. Študije so pokazale, da je nezadostna in nepravilna preoblikovanost kolčnega sklepa najpogostejši razlog, da rezultati artroskopskih posegov na kolku niso vedno dobri.
RAČUNALNIŠKA ASISTENCA V ORTOPEDIJI
Računalniška znanost je vse bolj prisotna tudi v ortopediji. Trenutna računalniška tehnologija že ponuja kirurgu podporo na več nivojih. Slovensko podjetje Ekliptik je razvilo edinstveni sistem računalniške podpore, ki ga ortopedi že uporabljamo pri svojem rutinskem delu.
1. PLANIRANJE POSEGOV S POMOČJO 3D-REKONSTRUKCIJE OBLIKE SKLEPA
Osnovni pogoj za uporabo sodobne računalniške tehnologije v ortopediji je slikovna diagnostika, s pomočjo katere lahko izdelamo 3D-rekonstrukcijo dela skeleta, na katerem želimo poseg napraviti. Zaradi boljše ločljivost kostnih struktur od ostalega tkiva, hitrejše izvedbe slikanja in zato manjše verjetnosti napake med zajemanjem slik ima za namen 3D-rekonstrukcije kosti in sklepov CT-slikanje pomembne prednosti pred magnetno resonančnim slikanjem. Uporabi se lahko protokol z nizko dozo sevanja, kar zmanjša tveganje za zdravje pacienta. S pomočjo obračanja slike 3D-modela na zaslonu dobi kirurg že pred posegom natančno predstavo o kliničnem problemu. Sodobni računalniški programi ponujajo orodja, s katerimi lahko izvedemo simulacijo kirurškega posega in preverimo, kateri način bi bil za danega pacienta najbolj ustrezen (slika 4).
Slika 4. Planiranje posega z računalniškim programom EBS (Ekliptik, Slovenija)
a – planiranje artroskopskega preoblikovanja (osteoplastike) na stegnenici pri pacientu s stegneničnim tipom utesnitve kolka z uporabo kinematičnega modela (a)
b – računalniški program izračuna volumen kosti na prehodu glavice v vrat stegnenice, ki ga je treba med posegom odstraniti, ter globino, do katere moramo kost zbrusiti
2. MOŽNOST UPORABE 3D-PRINTANJA V KIRURGIJI NA KOLKU
3D-tiskalniki omogočajo tiskanje želenega dela skeleta iz CT-slik. To možnost so sprva izkoriščali travmatologi predvsem v primerih kompleksnih zlomov medenice. Kirurg lahko na modelu preveri, s kakšno situacijo se bo soočil med posegom, poskusi problem razrešiti na različne načine in izbere najbolj primerno rešitev za pacienta. Nova tehnologija omogoča tiskanje kirurških orodij iz različnih materialov. V rekonstrukcijski ortopediji so se uveljavili printani nosilci z utori, ki jih med posegom lahko uporabimo za natančno izvedbo osteotomije in kirurške učvrstitve zloma (osteosinteze) (slika 5).
Slika 5. Računalniški prikaz uporabe 3D printanega nosilca (označen z živo rdečo zvezdico *) za natančno izvedbo vertikalne osteotomije črevnične kosti
3. IZVEDBA POSEGA S POMOČJO RAČUNALNIŠKE NAVIGACIJE
Osnovni pogoj, da lahko izvedemo kirurški poseg s pomočjo navigacije kirurških inštrumentov, je natančna registracija anatomije tistega dela skeleta, na katerem želimo poseg napraviti. Način registracije je odvisen od sistema, ki ga uporabimo. Sistemi lahko temeljijo na zaznavanju svetlobnih ali elektromagnetnih senzorjev, ki jih same ali preko vodil vstavimo v kost ali pripnemo nanjo. Po uspešni registraciji računalnik natančno zazna položaj želenega kirurškega inštrumenta, na katerega je prav tako pripet senzor. Na virtualnem računalniškem modelu sklepa lahko kirurg med posegom sledi premikanju inštrumenta v prostoru in po površini prikazanega skeleta. Sistem na primer omogoča natančno sledenje z inštrumentom dosežene globine v kosti, ki jo brusimo. Omogoča tudi natančno postavitev osteosintetskih plošč in vijakov na vnaprej planirano mesto. Senzor lahko vstavimo tudi na del kosti, katerega položaj želimo spremeniti. Na ta način lahko natančno in po vnaprej pripravljenem načrtu izvedemo korekcijo položaja želenega dela skeleta. Navigacija inštrumentov je v pomoč tudi med artroskopskim posegom utesnitvenega sindroma kolčnega sklepa (slika 6). Omogoča bolj natančno izvedbo preoblikovanja glavice stegnenice v okroglo obliko in redukcijo presežnega roba acetabula do vnaprej planirane globine. Natančno planiranje posega in računalniška navigacija kirurških inštrumentov sta lahko v veliko pomoč kirurgu tudi med odstranjevanjem večjih tumorjev medenične kosti.
Slika 6. Navigacija artroskopskega brivnika s kirurškim navigacijskim sistemom Guiding Star (Ekliptik, Slovenija)
Kirurg med artroskopkim preoblikovanjem glavice stegnenice spremlja položaj inštrumenta na video zaslonu (desno) ter sočasno na virtualnem 3D modelu na računalniškem zaslonu (levo), ki pokaže sklep v celoti in iz želenega zornega kota. Kirurg ima natančno kontrolo nad tem, koliko kosti mora še pobrusiti.
Kljub temu da navigacijo inštrumentov ortopedi že lahko uporabljamo v praksi, je še vedno v fazi razvijanja. V bodoče lahko pričakujemo tehnične izboljšave sistemov in klinične študije, ki bodo odgovorile na vprašanje, ali ima predstavljena tehnična novost tudi dolgoročno prednost za pacienta. Popoln nadzor nad izvedbo posega bo zmanjšal potrebo po preverjanju uspešnosti posega z uporabo medoperativnega rentgenskega in CT-slikanja. Tehnološka novost predstavlja tudi pomemben korak k uvedbi robotike v kirurgiji kolčnega sklepa.
Ortopedska klinika, UKC Ljubljana
Medicinska fakulteta, Univerza v Ljubljani


