Rak dojke je najpogostejša oblika raka pri ženskah in tudi najpogostejši vzrok smrti zaradi raka. Prizadene večinoma ženske, saj sta med obolelimi le eden do dva odstotka moških. Zbolevanje narašča, saj letno v Sloveniji odkrijemo že več kot 1000 novih primerov raka dojke (pogostnost: 100,9/100.000), s čimer se približujemo pojavnosti v razvitem svetu. V letu 2006 je bilo v Evropi 430.000 novoodkritih primerov in skoraj 132.000 smrti zaradi raka dojke.
DEJAVNIKI TVEGANJA IN PREVENTIVA
Najpomembnejši dejavniki tveganja so dedna obremenjenost, dolg interval med menarho (prvo menstruacijo) in menopavzo, starost pri prvi nosečnosti (pozna prva nosečnost), debelost in z maščobami bogata hrana. Ker na dedne, v veliki meri pa tudi druge dejavnike ne moremo pomembno vplivati, so možnosti primarne preventive razmeroma majhne. Zato je tem bolj pomembno, da raka odkrijemo čimbolj zgodaj, ko je bolezen omejena le na dojko in še ni zasevkov v druge dele telesa, saj je možnost ozdravitve v tem stadiju velika. Poleg samopregledovanja dojk je pomembno tudi presejanje z mamografijo. V nekaterih evropskih državah z dolgoletno tradicijo organiziranega presejanja so umrljivost zaradi raka dojke zmanjšali celo za 30 odstotkov.
BOLEZENSKI ZNAKI
Najpogostejši bolezenski znak je zatrdlina v dojki, ki jo ženske zatipajo med samopregledovanjem ali po naključju. Drugi znaki so še ugreznjena bradavica, krvav izcedek iz dojke, spremenjena koža na dojki (»pomarančasta koža«) ali povečane bezgavke v pazduhah. Čeprav je večina zatrdlin v dojki benignih (nenevarnih), mora vendarle zdravnik vedno opraviti vse potrebne preiskave, da opredeli naravo zatrdline in bolnice z rakom nemudoma napoti na zdravljenje.
DIAGNOSTIKA BOLEZNI DOJKE
V diagnostiki tipljivih tumorjev dojke se je v svetu in pri nas uveljavil t.i. trojni pristop, ki vključuje klinični pregled, rentgensko slikanje (mamografijo) in aspiracijsko biopsijo s tanko iglo (ABTI). Poleg naštetih v diagnostiki bolezni dojke uporabljamo še ultrazvok, redkeje tudi računalniško tomografijo (CT) in magnetno resonanco.
MAMOGRAFIJA
Mamografija je rentgensko slikanje, s pomočjo katerega odkrivamo bolezenske spremembe v dojki. Diagnostična mamografija potrdi ali izključi prisotnost rakave bolezni pri tistih ženskah, ki že imajo tipno spremembo na dojki. Presejalna mamografija pa je preiskava, ki jo izvajamo v rednih časovnih presledkih pri ženskah, ki še nimajo znakov bolezni. Mamografija je uspešna predvsem pri ženskah po 50. letu starosti, ko v dojkah prevladuje maščobno tkivo. Pri mlajših ženskah so mamografske slike zaradi obilice žleznega tkiva slabše pregledne, zato je v tem obdobju mamografija manj zanesljiva.
ULTRAZVOK
Ultrazvočni pregled je pomembna dopolnilna metoda mamografiji, še posebno, kadar dojke vsebujejo veliko žleznega tkiva. Uporabljamo ga tudi pri mlajših ženskah in nosečnicah, pri katerih je mamografija manj uspešna in zaradi rentgenskega sevanja tudi neprimerna. Aspiracijska biopsija s tanko iglo (ABTI), ki jo številni bolniki in bolnice bolj poznajo pod imenom citološka punkcija, je postopek, pri katerem s tanko iglo posesamo celice iz tumorja in jih po ustrezni laboratorijski obdelavi pregledamo pod mikroskopom. Poseg je enostaven, hiter, poceni in za pacienta običajno malo boleč ali neboleč. Za ABTI potrebujemo držalo za brizgo, brizgo in tanko iglo (običajno premera 0,7 mm). Ko z iglo zabodemo v tumor, s pomočjo držala ustvarimo podtlak, postrgamo tkivo v več različnih smereh, popustimo podtlak in iglo izvlečemo. Osnovno vprašanje, na katerega moramo s citopatološko preiskavo odgovoriti, je, ali gre za benigen ali maligen tumor. Pri slednjem je namreč nujno, da se zdravljenje začne čimprej. Citološka slika karcinoma dojke je lahko zelo raznolika, saj poznamo različne histološke tipe tumorjev. Običajno je v citoloških vzorcih pri karcinomu veliko celic, ki ležijo v skupinah in posamično. Razmerje med jedrom in citoplazmo je povečano, celice so različnih velikosti in oblik (pleomorfizem), struktura jedra je spremenjena (slika 1).
Kadar so morfološki znaki malignosti jasno izraženi, je citopatološka diagnoza karcinoma nedvomna, pri manj izrazitih spremembah pa je ocena procesa zelo težka. Takrat običajno zapišemo »sumljivo za karcinom«, nakar je potrebna še histološka opredelitev procesa.
HISTOLOŠKI TIPI RAKA DOJKE
V današnjem času nam opredelitev tumorja kot malignega ne zadošča. Pri načrtovanju ustreznega zdravljenja je treba namreč upoštevati napovedne dejavnike, kot so velikost tumorja, histološki tip in stopnja diferenciacije ter stadij TNM (T = velikost tumorja, N = prisotnost zasevkov v bezgavkah, M = prisotnost oddaljenih zasevkov). Tkivo, ki ga po predhodni citološki diagnozi kirurgi odstranijo, dobijo v pregled patologi, ki ocenijo velikost tumorja in ga opredelijo glede na histološki tip. Najpogostejši histološki tip raka dojke je invazivni duktalni karcinom brez drugih oznak (BDO), ki predstavlja do 75 odstotkov vseh karcinomov v dojki (slika 2).
Po pogostnosti mu sledi invazivni lobularni karcinom (5 do 15 odstotkov vseh karcinomov v dojki). Še bolj redki histološki tipi tumorjev so mucinozni, tubularni in medularni karcinom, ki imajo zelo dobro napoved (okoli 80-odstotno desetletno preživetje), ter invazivni papilarni karcinom, ki ima nekoliko manj ugodno prognozo. V dojki lahko vzniknejo tudi razni mešani tumorji (npr. mešani duktalni/lobularni karcinom), ki imajo skupaj z invazivnim duktalnim karcinomom (BDO) slabo napoved z manj kot 50-odstotnim desetletnim preživetjem. Obstojajo še druge histološke vrste tumorjev v dojki (adenoidnocistični, metaplastični, sekretorni, nevroendokrini), ki imajo tipično morfološko sliko, vendar so izjemno redke in njihov prognostični pomen ni jasno opredeljen.
OCENA ODZIVA NA ZDRAVLJENJE
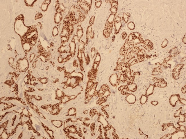
Z dodatno obdelavo citoloških in histoloških vzorcev dobimo tudi druge pomembne informacije o bolezni in njenih napovednih dejavnikih. Prisotnost estrogenskih (ER) in progesteronskih receptorjev (PR) je pomemben napovedni dejavnik za oceno odziva na hormonsko zdravljenje. Hormonske receptorje (ER, PR) običajno določamo z imunohistokemično preiskavo na tkivnih rezinah operativno odstranjenega tumorja (slika 3).
Kadar bolnica ni sposobna za operacijo ali pa je za načrtovanje zdravljenja potrebna informacija o prisotnosti hormonskih receptorjev pred operacijo, določamo hormonske receptorje imunocitokemično na citoloških vzorcih. Podobno kot hormonske receptorje lahko določamo tudi receptorje epidermalnega rastnega faktorja (Her-2), ki je pomemben pri napovedovanju poteka bolezni in ocenjevanju odgovora na imunsko zdravljenje z monoklonskimi protitelesi (trastuzumab - Herceptin).
Na zbolevanje za rakom dojke ne moremo vplivati, lahko pa s presejanjem z mamografijo in z ustrezno in hitro nadaljnjo diagnostiko bolezen odkrijemo v zgodnjem stadiju, ko so možnosti za ozdravitev še zelo velike. Zato je izjemno pomembno, da se ženske odzovejo vabilu na mamografijo v okviru državnega presejalnega programa DORA, ki ga z letošnjim letom uvajamo tudi v Sloveniji.
Oddelek za patomorfologijo in citologijo
Splošna bolnišnica Celje


